If you have a headache or jaw pain most of the time, and medications your doctor have prescribed haven’t provided any relief, you need to seek out the source of the pain. Spokane-based neuromuscular dentists Drs. Ken & Marnie Collins will be able to tell you if your pain is stemming, at least in part, from temporomandibular joint disorders (called TMJ or TMD) and could benefit from TMJ treatment. These disorders can cause numerous symptoms, including jaw clenching and grinding, tooth damage, and numerous ear symptoms. Not everyone gets the same symptoms, so the only way to figure out if you have TMJ is by getting a scientific diagnosis.
Even a small misalignment in your jaw can lead to any of these issues and more. Whether you’ve suffered with TMJ issues for years or they’re just starting, it’s best to contact Drs. Ken & Marnie Collins quickly before the symptoms continue to worsen. Please call 509-532-1111 today for an appointment.
Request an AppointmentTMJ Symptoms
TMJ is not actually a unified condition. It is a blanket term used to describe what we think are at least three different, but closely related, conditions. As a result, there are many symptoms associated with TMJ, including:
- Jaw pain
- Clenching and grinding teeth (bruxism)
- Excessive tooth wear
- A bite that feels “off” or “wrong”
- Popping, clicking, or grinding in the jaw joint
- Limited jaw opening or jaw stuck open
- Headaches
- Earaches
- Fullness in the ears
- Tinnitus (ringing in the ears)
- Vertigo or dizziness
- Neck pain
- Upper back pain
- Tingling or numbness in the fingers
Not everyone experiences all these symptoms, but if you have more than two of them, it’s likely that you have TMJ.
How Did I Get TMJ?
Unfortunately, research hasn’t found all the causes of TMJ issues. Every person is different, and that has a bearing on the root cause of TMJ as well. Some of the causes include:
- Certain health care measures such as intubation
- Trauma from an accident
- Bad oral habits such as nail biting or pencil chewing
- Congenital issues
- Bad dentistry
How Is TMJ Treated?
The first thing Drs. Ken & Marnie Collins will do at their Spokane, WA office is use a K7 machine to evaluate your current bite. The K7 will tell them how hard your jaw muscles are working while opening your mouth, closing, and while they are “at rest”. In a misaligned TMJ, the muscles may never actually be at rest, which is the cause of most of the pain.
After getting the baseline data from the K7, Drs. Ken & Marnie Collins will hook you up with a TENS unit, which is a small piece of neuromuscular dentistry equipment that is powered by a 9-volt battery. Electrodes are attached to the jaw joints just in front of the ear and at the base of the back of the neck. Then Drs. Ken & Marnie Collins will turn on the TENS unit and gentle electrical impulses will be sent to the muscles of your TMJ system. TENSing is completely painless, and most patients enjoy it because it relaxes these muscles that have been so tense for so long.
After TENSing for 30-45 minutes, Drs. Ken & Marnie Collins will again use the K7 system to evaluate your bite which will now have changed. Your muscles will find their most desired at-rest position. Drs. Ken & Marnie Collins will then take a bite impression to record this new occlusal position.
Moving The Bite – TMJ Treatment in Spokane
Next, Drs. Ken & Marnie Collins will discuss treatment methods for repositioning your bite into this neuromuscularly-balanced position that will alleviate your TMJ symptoms. At our Spokane office, we offer the following TMJ treatment options:
Coronoplasty – Making small changes to the shape of your teeth
Neuromuscular Orthotics – some also call this a “bite splint”
Full Mouth Reconstruction – using dental crowns and porcelain veneers to change the bite
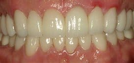
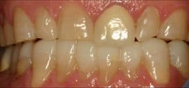
After
Orthotic
Before
The First Step In TMJ Treatment
If you live in Spokane or the surrounding areas, or are willing to travel to our Spokane office, please contact us online or call our office at 509-532-1111 in Spokane. You can also book an appointment online.
